news
01 病理检测的意义
病理检测是疾病诊断的“金标准”,其意义至关重要,贯穿于疾病诊疗的全过程。
CRO(合同研究组织)病理平台是专门为生物医药研发提供专业化、一站式病理学技术服务和科学咨询的核心部门。它凭借其标准化流程、高质量样本分析、深度数据解读和法规遵从性,成为加速药物从临床前到临床阶段转化的关键支撑。
02 病理检测的主要方法
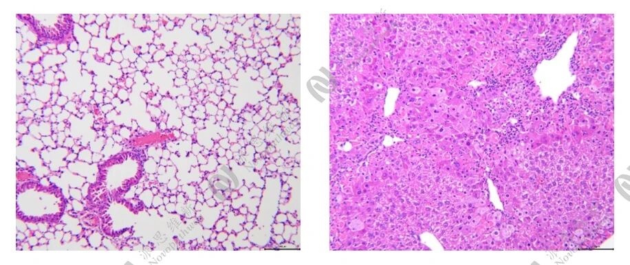
常规组织病理学:手术或活检取得组织,经过固定、包埋、切片、染色(最常用HE染色)后,在光镜下观察。这是最基础、最广泛的方法。
H&E Staining: 使用苏木素和伊红这两种染液,其中苏木精碱性染液为蓝色,可以将组织的酸性结构染成蓝紫色(细胞核呈现蓝色;软骨基质、钙盐颗粒呈深蓝;粘液呈灰蓝);伊红是一种化学合成的酸性染料,在水中解离成带负电荷的阴离子,易于蛋白质氨基中的正电荷结合使细胞浆染色。细胞浆、肌肉、结缔组织、嗜伊红颗粒等被染成不同程度的红色或粉红色。

细胞病理学:通过体液或细针穿刺获取细胞进行涂片检查,常用于筛查和初步诊断(如骨髓涂片)。

特殊染色(针对特定目标物)
原理:利用组织化学成分的差异,通过特定的化学反应或染料结合进行染色。
常见类型与用途:判断纤维成分:
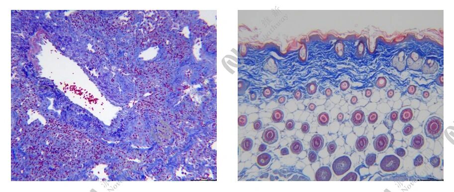
Masson染色:胶原纤维→蓝色/绿色,肌纤维→红色。
Masson Trichrome Staining:是一种常用的组织学染色方法,通常使用两种或三种阴离子染料混合进行染色。Masson染色可以显示组织中的纤维以及炎性因子。在Masson染色中,胶原纤维通常呈蓝色,肌纤维呈红色。Masson染色主要用于区分胶原纤维和肌纤维。

03 肺纤维化模型病理检测
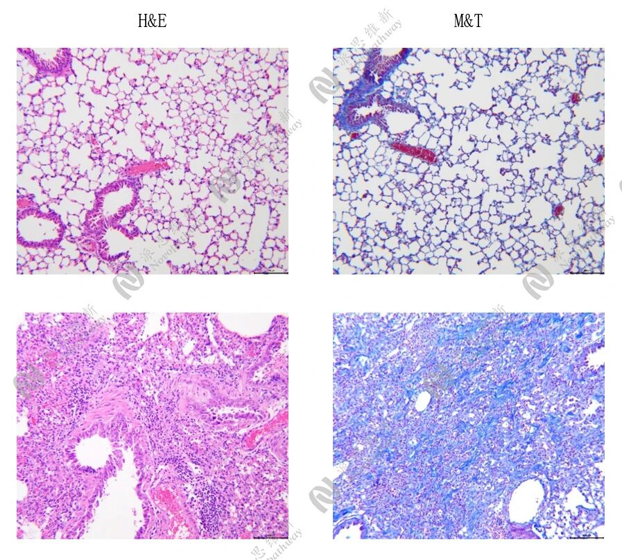
苏木素-伊红染色
目的:观察整体组织形态学改变。
特征:正常肺泡结构破坏、塌陷。
肺泡间隔增厚,细胞成分(炎症细胞、成纤维细胞)增多。
纤维增生区域呈嗜酸性增强(粉红色加深)。
可见炎性细胞浸润(如淋巴细胞、巨噬细胞)。
Masson三色染色
目的:最常用的胶原纤维可视化染色,将胶原纤维染成蓝色。
特征:清晰显示蓝色胶原纤维在肺泡间隔、血管周围及胸膜下的沉积和聚集。是评价纤维化程度的“金标准”染色之一。

天狼星红染色:胶原纤维→鲜红色或粉红色 ,细胞质、肌肉、红细胞等→黄色 。
S&R Staining:是一种特殊的染色方法,主要用于显示胶原纤维。天狼星红染色试剂是一种强酸性染料,易与胶原分子中的碱性基团结合,吸附牢固。天狼星红染色主要用于各种组织病变时对胶原纤维异常或纤维增生的研究中。
04 肝纤维化模型病理检测
定位与观察纤维化分布模式:
正常肝:仅在门管区、中央静脉周围有极少量纤细的胶原框架(几乎不可见)。
纤维化肝:清晰显示胶原在特定部位的异常沉积:
门脉区纤维化:胶原从门管区向外扩张。
桥接纤维化:胶原形成连接门管区-门管区或门管区-中央静脉的“纤维间隔”,这是评估严重程度的关键。
肝硬化:广泛的纤维间隔将肝实质分割成大小不等的“假小叶”。

番红固绿染色:可以直观反映关节软骨、软骨下骨和骨组织的结构。
Safranin-O Fast Green Staining:番红O(safranin O)-固绿(fast green)染色软骨呈红色,成骨呈绿色。嗜碱性的软骨与碱性染料番红结合呈现红色,嗜酸性的骨和酸性染料固绿结合而呈绿色或蓝色,与呈现红色的软骨对比鲜明,从而将软骨组织与骨组织区分开。

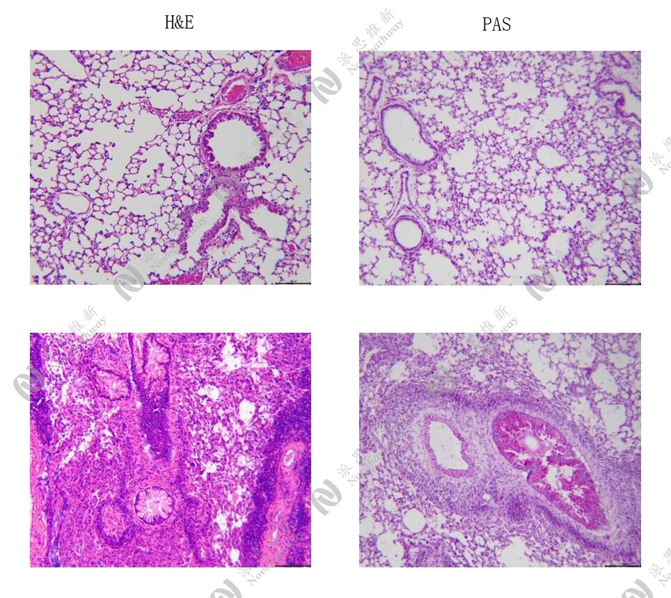
PAS(过碘酸-希夫):是一种用于检测组织或细胞中多糖和粘蛋白的染色方法,染色结果为阳性物质呈紫红色,细胞核呈蓝色(如果进行了复染)。
05 哮喘模型病理检测
杯状细胞增生:
定位:主要染气管和各级支气管(尤其是小气道)的上皮层。
正常:气道主要由纤毛细胞覆盖,杯状细胞散在分布。
哮喘模型:PAS染色后,可见气道上皮层中紫红色阳性细胞(杯状细胞)数量急剧增多,甚至成簇出现,部分取代纤毛细胞。
粘液过度分泌:
不仅细胞数量增多,每个杯状细胞内的粘液颗粒(PAS阳性物质)也更为饱满。可见粘液分泌到气道管腔内,甚至形成管腔内的PAS阳性粘液栓,这是严重哮喘模型的典型表现。

06 CNS疾病模型病理检测
LFB染色:是用于特异性显示中枢神经系统(脑和脊髓)髓鞘的经典方法。染色结果为正常髓鞘呈蓝色,脱髓鞘区域呈淡染或无色,与红色的核(通常用焦油紫复染)形成鲜明对比。
炎症浸润:免疫细胞(T细胞、B细胞、巨噬细胞等)穿越血脑屏障,在CNS内形成血管周围“套袖”样浸润。
脱髓鞘:髓鞘(由少突胶质细胞产生)被破坏,导致神经电信号传导障碍。
在正常脊髓白质(如皮质脊髓束)或脑白质区,LFB染色呈现均匀、致密的蓝色。在EAE模型中,可见蓝色变淡、不均匀或完全缺失的区域,即为脱髓鞘病灶。病灶常分布在血管周围、脑室周围或白质束中。

07 免疫组织化学染色
简称:免疫组化(IHC)
原理:免疫组织化学,简称免疫组化,是一种利用抗原-抗体特异性结合的原理,通过化学显色反应,在显微镜下对组织切片中的特定蛋白质(抗原)进行定位、定性和相对定量的检测技术。

08 检测流程及设备
检测服务:样本的制备,H&E染色,特殊染色,免疫组化染色,免疫荧光染色。
组织切片的制备:客户可以提供新鲜的组织,由我们负责进行组织固定及石蜡包埋;也可以提供石蜡包埋的组织或细胞样品进行实验分析。
抗体的选择:客户可以自行提供检测所需要的一抗,也可以有我们提供。检测所需的二抗由我们提供。
病理学诊断分析:目前主要针对于各种动物炎症模型及肿瘤模型进行实验。
药效测评病理诊断分析:采用评分方法,半定量分析(软件分析)。
毒理实验病理诊断分析:脏器病变部位的性质以及严重程度;与药效相关联的脏器是否有病变发生。
组织脱水机——组织包埋机——组织切片机——组织摊烤片机——切片染色——切片扫描

上海派思维新生物医药科技有限公司
办公地址:上海市浦东新区华夏东路333号临丰科创园5幢
人力资源 邮箱:HR@novopathway.com 电话:021-5838 0356
BD商务 邮箱:BD@novopathway.com 电话:021-5838 0618-501